RSS
2026-04-27 07:28:54

ابحث في الموقع

كربلاء:استئصال ورم من مريضة عشرينية في مستشفى تابع للعتبة الحسينية

كربلاء:استئصال ورم من مريضة عشرينية في مستشفى تابع للعتبة الحسينية

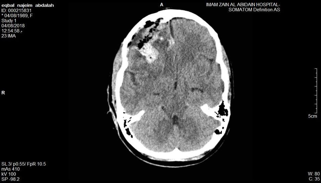
اعلنت مستشفى الامام زين العابدين عليه السلام التابع للعتبة للحسينية المقدسة عن نجاح فريقها الطبي باستئصال ورم في الدماغ لمريضة عشرينية.
وأفاد اعلام المستشفى,لوكالة نون الخبرية  انه بعد اجراء الفحوصات الطبية والرنين المغناطيسي للمريضة تبين انها مصابة بورم جبهي ايمن في الدماغ.
وأضاف , اجريت للمريضة عملية جراحية وتم خلالها استئصال الورم الدماغي مجهريا.
وأشار الى ان المريضة الان بحالة صحية جيدة وفي تحسن مستمر.
ويقدم المستشفى خدماته انطلاقا من مسؤوليته كمؤسسة خدمية, ولا يعمل بنظام الاستثمار الكامل كما هو الحال في المستشفيات الخاصة.وكالة نون خاص

 

التعليقات

لا توجد تعليقات بعد. كن أول من يعلق!