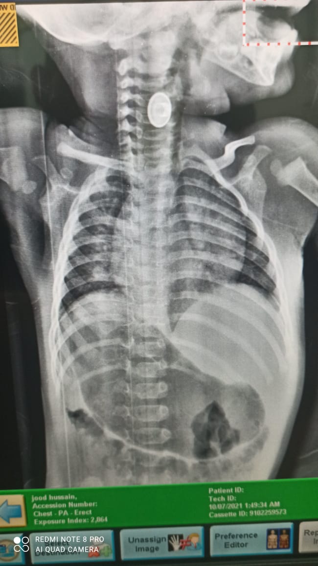
إستخرج فريق طبي وصحي في المُستشفى العام بقضاء عين التمر بكربلاء المُقدسَة، جسماً معدنياً من مريء طفل في السنة الأولى من عمره.
وذكر مُدير المُستشفى، الدكتور بهاء مهدي التميمي، خلال بيان اورده المكتب الاعلامي لدائرة صحة كربلاء وتلقته وكالة نون الخبرية، اليوم الإثنين، إن "الطفل وصل إلى ردهة الطوارئ في الساعة الواحدة والنصف من بعد منتصف ليلة، أمس الأول، وهو بوضع صحيٍ سيء حيث كان يشكو من ضيق في التنفس وصعوبة شديدة في البلع".
وأضاف التميمي، إنه "عقب إجراء الفحوصات اللازمة، وأشعة عادية على الصدر والمريء، حينها إتضح وجود جسم معدني عالق في المريء، وبجوار مجرى التنفس مباشرةً".
وتابع، إنه "تم على الفور إدخال الطفل الى صالة العمليات الصغرى في الردهة، وبعد مرور نصف ساعة تقريباً، تم إستخراج الجسم الغريب دون أي مضاعفات، وعاود الطفل التنفس بشكلٍ طبيعي"، وفي حين لفت التميمي على إن "الأجسام الغريبة العالقة بالمريء، تتطلب إزالة طارئة بغض النظر عن وجود الأعراض، لأنها يُمكن أن تسبب مُضاعفات خطيرة"، فإنه "أهاب بالأُمهات بعدم ترك أطفالهُنَ بمفردِهِم دون رقابة".
وأكد التميمي، على إن "الملاك العامل في المُستشفى، يتمتع بكفاءةٍ ومهارةٍ عاليةٍ في التعامل مع الحالات الحرجة من مختلف الأعمار، ولهذا تم التعامل مع الحالة بشكلٍ فوري، ما أسهم في سرعة التشخيص وإتخاذ الإجراء الطبي اللازم لإنقاذ حياة الطفل"، مُشيراَ الى إن "الفريق الطبي والصحي المُشارك بالعملية، كان مُؤلفاً من طبيب التدرج، الدكتور أحمد فوزي، والمُمرضيين الجامعيين، عبدالرحمن علاوي، وعلي عبد الحسن، وم . ماهر. مكي صاحب، وم . صيدلي، مرتضى كاظم، وم . طبي، أكرم صلاح حسن".



التعليقات (0)
لا توجد تعليقات بعد. كن أول من يعلق!